咳嗽把左肺咳消失了(喉咙里咳出一团胶状痰图片)2026年01月精选导读
咳嗽把左肺咳消失了(喉咙里咳出一团胶状痰图片)
咳嗽把左肺咳消失了网友观点1:
有一只哮喘只有咳嗽没有气喘,晚上最折磨人,任何止咳药都止不住前段时间我讲过自己总是咳嗽,这种咳嗽从感染过新冠之后就开始了,一直持续到现在,到了冬天就开始发作,夏天会好一点,白天不太明显,晚上或者躺下严重,每次发作时咽喉部奇痒难忍,必须要用力剧烈咳嗽才能止痒,最后会从喉咙部涌出一些痰液结束。这个问题其实从症状就能判断疾病,是一种典型的气道高反应性疾病,所谓的气道高反应性其实就是过度敏感,一刺激就会发生反应的意思,最有代表性的气道高反应性疾病是哮喘。其实哮喘这个疾病症状差异度非常大,从毫无症状到喘的要死要活都有可能,其中就有一种只咳嗽不气喘的疾病叫作咳嗽变异性哮喘,虽然是哮喘但只咳不喘。这个疾病要想确诊需要做肺功能,呼出气一氧化氮检测以及支气管舒张试验,如果没有条件做检查,也可以根据典型的症状直接按照哮喘治疗,如果症状好转就可以确诊。这个疾病多数和过敏原刺激有关,病原体尤其是病毒可以诱发这个疾病,有一部分患者长期反复发作最终演变成哮喘。#微博健康公开课##全民慢病健康科普计划#
咳嗽把左肺咳消失了网友观点2:
说说秋冬天经常咳嗽用到的两个药。#中医式生活##国医的精诚力量# 一到秋冬,身边咳嗽的人就多起来。尤其是那种干咳,没什么痰,或者痰很少、黏着很难咳出来,嗓子又干又痒,说话多了更明显,有时候甚至会拖上好几周都不见好。很多人觉得是天气干燥,就喝各种润肺的糖浆,当时能缓解一点,但总不断根,一不小心又咳起来。这种情况,在中医看来,往往不单单是肺的问题。肺像是人体的“加湿器”和“风扇”,负责宣发和肃降。而它的动力和“水源”,很大程度上来源于肾。中医认为“肺为气之主,肾为气之根”,肺与肾是金水相生的关系。当肾阴不足(可以理解为身体深层的“阴液”或“润滑物质”亏少了),就好比锅炉里的水快烧干了,底下虚火向上蒸腾,就会灼伤肺的津液,导致肺燥而咳。这种咳嗽的根源更深,所以单润肺就像只给加湿器添水,却没给锅炉补水,效果自然难以持久。调理这类反复不愈的干咳,关键在于 “肺肾同补” ,在润肺的同时,更要滋补肾阴,把根本的水源补足。有一个思路很经典的成药,就体现了这个理念:百合固金片(或丸、颗粒等)。这个药的名字很有意思,“固金”就是巩固“肺金”。它的配方,不是一堆止咳药简单堆砌,而是一个有层次的组合:它用了熟地黄、生地黄来滋补肾阴,填补根本的“阴液”,从下焦给身体“加水”,清解虚火,这是治本。同时用百合、麦冬、川贝母等来润肺滋阴、化痰止咳,直接缓解肺燥和咳嗽的症状,这是治标。还配了当归、白芍来养血。因为长期阴虚的人,往往也伴有血虚,身体缺乏濡养。养血有助于更好地滋阴。桔梗则像一位“引路人”,把药性向上引导到咽喉和肺部。甘草调和诸药。简单说,
咳嗽把左肺咳消失了网友观点3:
有人说最近感冒了嗓子疼,喝了小红莓以后感冒好了嗓子不疼了,但是一直在咳嗽咳了很久了,还是在喝小红莓但没有什么用。⚠️每个产品都有适合它的调理方向,像小红莓就是天然消炎药,对于感冒发烧嗓子疼或者身体炎症都有很好且非常明显的效果。但对这种肺虚型咳嗽是没用的。肺虚说富贵病,意思就是网上那些什么喝梨、银耳,说实话本质意义不大,只是稍微滋润罢了。★目前就我看的对这种肺部反复咳嗽甚至咳得肺疼,最有效明显的东西就是:灵芝孢子油/粉还有燕窝,确确实实是吃进去以后有效果的。【反馈特别多】而梨膏、银耳都是搭配它们辅佐他们,让你体内滋润,不至于又咳还又上火咳黄痰的情况。你想靠单独喝它们就调理好那种比较严重的,咳得肺疼得图咳嗽,几乎是不可能的。家中常备一些,特别是现在这个新冠后大部分人都肺虚肺部有结节的情况,是非常适合的。灵芝秋梨膏,搭配灵芝孢子粉/油一起吃,效果就会好上加好。 双12灵芝专场 ◆ 暖冬
咳嗽把左肺咳消失了网友观点4:
#国医的精诚力量# 一个鸭梨,一把花椒,咳嗽轻松搞定,尤其是小儿更容易接受#健闻登顶计划##中医式生活# 花椒梨治咳法在中原地区民间广为流传, 其制备方便, 疗效亦佳, 现介绍如下。制备方法鸭梨1个 (不去皮) , 花椒1撮 (不去目) , 用刀将鸭梨从中间切开, 挖去梨核不用, 将花椒放入梨心后, 将梨合拢, 上锅加水500ml左右, 蒸15~20分钟后取出, 弃去花椒、食梨即可。每日2个。典型病例李某, 男, 6岁。3年来, 患者每于冬春季节反复出现咳嗽, 以夜间为重, 伴喉中痰鸣, 无发热、畏寒、气喘, 饮食、二便正常。曾应用多种抗生素治疗, 效果欠佳。经人介绍, 自1996年12月起, 每周食用椒梨4个。服用3个月, 患儿未再咳嗽而愈。体会《本草纲目》称花椒为“纯阳之物, 其味辛而麻, 其气温以热, 入肺散寒治咳嗽……”鸭梨有润肺止咳之功。二者一辛一润用于久咳无表症者, 功效颇佳, 尤宜于小儿, 可免去打针服药之苦。且花椒、梨为家庭常备之物, 制备方便, 值得推广。但本方于阴虚燥咳者不宜。养生
咳嗽把左肺咳消失了网友观点5:
#24岁女生咳嗽不止查出肺癌##健闻登顶计划# 咳血可能是那些疾病!呼吸系统疾病支气管扩张:反复咳嗽、咳脓痰或脓血痰,部分患者仅表现为反复咯血,常伴有杵状指(趾)。肺结核:常见症状包括低热、乏力、盗汗、慢性咳嗽、咯血,咯血量可多可少。肺炎:细菌、病毒等感染导致肺部炎症,可能伴有发热、胸痛、咳脓痰,部分患者出现咯血。肺癌:多见于40岁以上人群,表现为持续性痰中带血或血痰,部分患者伴有胸痛、消瘦等症状。心血管系统疾病二尖瓣狭窄:中青年患者多见,咯血量可多可少,初期为暗红色,并发肺水肿时咳粉红色泡沫样血痰。左心衰竭:肺循环压力升高,导致肺部毛细血管破裂出血,可能伴有呼吸困难、粉红色泡沫痰。先天性心脏病:并发肺动脉高压时,可出现咯血。血液系统疾病血小板减少性紫癜:血小板减少导致凝血功能障碍,可能出现皮肤黏膜出血点及咯血。白血病:骨髓造血功能异常,抑制正常血细胞生成,可引起自发性出血,包括咯血。血友病:凝血因子缺乏,轻微创伤或自发性出血风险增加,可能表现为咯血。其他疾病急性传染病:如肺出血型钩端螺旋体病、流行性出血热,患者多有急性高热,伴有皮肤黏膜出血。子宫内膜异位症:部分女性在月经期出现咯血,与子宫内膜异位至肺部有关。自身免疫性疾病:如系统性红斑狼疮、韦格纳肉芽肿等,可累及肺部血管,导致咯血。注意事项:咯血可能是严重疾病的信号,需及时就医排查病因。若出现大咯血(24小时内咯血量>500ml或单次咯血量>100ml),或伴有呼吸困难、胸痛、晕厥等症状,应立即呼叫急救。避免自行用药,尤其是止血药和镇咳药,以免掩盖病情或加重出血。
咳嗽把左肺咳消失了网友观点6:
#冬季总咳嗽别硬扛##健闻登顶计划# 辟谣!咳嗽不会“咳出肺炎”,真相恰恰相反[手指比心][手指比心]门诊天天有人问:医生,我咳了好几天,会不会咳成肺炎啊?今天必须把这个知识点掰扯清楚:咳嗽本身不会导致肺炎,是肺炎引发了咳嗽!从病理机制来讲,咳嗽是呼吸道的防御反射,而肺炎是病原体侵袭肺泡、肺间质引发的炎症。当肺部发生炎症时,会产生大量炎性分泌物也就是痰液,这些痰液刺激气道黏膜上的感受器,才会触发咳嗽反射——简单说,咳嗽是肺炎的症状,不是病因。反过来想,要是肺炎早期就盲目用强效镇咳药压制咳嗽,痰液排不出去淤积在肺部,反而会加重炎症,让病情更棘手。当然要提醒大家:如果咳嗽时伴随这几个信号,一定要警惕肺炎可能,及时就医:1. 咳嗽持续超过3天没好转,还越咳越重2. 咳出黄浓痰、铁锈色痰,甚至痰中带血3. 伴有发热(尤其是高烧不退)、胸痛、呼吸急促4. 精神萎靡、浑身乏力,活动后气喘加重别再冤枉咳嗽啦,它只是身体在提醒你:呼吸道可能出问题了!💡 重要提示:个体病情存在差异,出现上述症状请及时就医,遵医嘱检查治疗,切勿自行判断用药!
咳嗽把左肺咳消失了网友观点7:
#24岁女生咳嗽不止查出肺癌#肺癌早期如何诊断?在中医来看,肺出问题身体很早就会给出警示,只是很多人不懂就没有放在心上:1.每天凌晨3点醒来,5点以后才能再次入睡;2.肺部持续性刺痛;3.拉肚子,次数很多;4.白色泡沫状口水,等症状。如果刚出现半夜3点醒来的情况就去治疗,那时候可能只是结节一类的小毛病,那时候就很好治疗。24岁女生小君一开始就是一直咳一直咳,不发烧也没感冒,就是咳嗽一直不好,后来检查出肺部恶性肿瘤,经历手术和多次化疗放疗,没想到却在2年后复发了,已经皮下转移全身都在长肿瘤,头部也在长,非常痛苦,哎。 手术切除配合放疗化疗还是太激进了,很多病人身体都扛不住,希望小君加油吧。
咳嗽把左肺咳消失了网友观点8:
#九紫离火运# 离火运火🔥旺流年火猛克金,中医理论中肺与五行中的“金”相对应,金象征坚固和收敛,与肺的功能相似。 肺损伤时可能出现咳嗽,呼吸不顺等症状,明年丙夺丁光,也会影响心脏。
咳嗽把左肺咳消失了网友观点9:
#冬季总咳嗽别硬扛##健闻登顶计划# 【冰糖雪梨、盐蒸橙子能止咳?】冬天气候干燥,又是呼吸道传染病高发期,人员密集场合最容易听到的声音就是打喷嚏🤧和咳嗽。昨天刚听同事说,早高峰人挤人的地铁上,对面大叔毫不顾忌,冲着他咔咔直咳,伴着浓烈的口气,直让人原地飞升。又想起大范围新冠阳性,大伙儿都体验刀片嗓的时候,网上流传各种各样的止咳小妙招,比如蒸冰糖雪梨,蒸橙子加盐。这两种我家还真都尝试过,效果么,聊胜于无,就当是安慰剂吧。雪梨🍐含水量高,滋味清甜,加了冰糖煮来能舒缓炎症给咽喉带来的刺激,比起生吃,对肠胃的刺激也少。橙子🍊维C含量高一些,果酸也能在加热时起到保护作用,蒸软烂了吃更方便下咽,能补充水分和维C,至于加盐…也许是期待盐能起到点杀菌效果?可惜实际上并没有。就当是为了调味吧。这两种吃法,最多是能一定程度上缓解咳嗽引发的不适,属于辅助。“止咳”属于治疗目的,要说某种食物有“治疗效果”,是违反食品安全法和广告法的真咳得难受,赶紧上医院检查,吃药。
咳嗽把左肺咳消失了网友观点10:
一个非常好用的方子,它可以治肺病,治胃病,治咽喉的毛病,咳嗽气喘、慢性咽炎,支气管哮喘,甲亢等等,随便一数就有10来种毛病,疗效都非常好。 这个方子,叫“麦门冬汤”。 麦冬60g,半夏9g,人参6g,炙甘草4g,粳米6g,红枣3枚。 医圣的方子,从来都是这么简单,这叫大道至简。 这个方子治什么病呢?张仲景先生写了一段话:火逆上气,咽喉不利,止逆下气者,麦门冬汤主之。 我来翻译一下。 火逆上气,可以理解成火气上逆,肺胃里面的火气往上走,也就是平常大家所说的上火。 上火有虚火和实火之分,张仲景这里说的是哪种火呢?以方测证,很显然,这里指的是虚火。意思是肺胃里面阴分不足,产生的虚火往上冲。 咽喉不利,就是咽喉出现了毛病。火气上逆,为什么会导致咽喉出问题呢?很好理解,胃通于咽,肺通于喉。肺胃的火气上逆到咽喉,势必把咽喉的津液也烤干,就伤到咽喉。 那要怎么办呢?要止逆下气,用麦门冬汤就好了。 看这个方子,一味药不多,一味药不少,一切都是刚刚好。目的就是要把肺胃里的津液给它补足,把肺胃里的能量给它补起来,然后把上逆的火气给它降下来。 哪些情况下可以用《麦门冬汤》呢?我给大家列出了最常见的9种情况。 1.咳嗽气喘。咳嗽的原因非常多,需要辩证论治,有一种咳嗽是麦门冬汤证,表现是这样的:咳嗽的时候,总觉得气不往下走,就是气喘。咳的时候,吐的是泡沫状的涎,一般不会有痰,平素口干咽燥,这种状况就可以服用麦门冬汤。 2.支气管哮喘。哮喘,说白了就是肺气降不下去,为什么降不下去?有可能是肾不纳气,也可能是肺胃不降。如果是肺胃不降,
页面下方是[天天网络公司]小编根据你当前搜索的关键词【咳嗽把左肺咳消失了】帮你整理出来的相关图片素材(不可商用)、视频资料(版权归原作者)、站内相关图文等结果,这些内容都可以帮助你更好的了解【咳嗽把左肺咳消失了】。另外,我们也帮你整理出了跟关键词:咳嗽把左肺咳消失了 高度相关的词汇和长尾关键词,还有一些站内经常出现的高频关键词,希望你能对这些内容感兴趣。如果你希望别人在搜索引擎中查询关键词【咳嗽把左肺咳消失了】或者在GPT类的AI问答中提到【咳嗽把左肺咳消失了】的时候,能够看到你的网页、品牌或联系方式,建议你了解一下网站SEO优化或关键词GEO优化服务,目前天天网络公司已经和国内顶尖的SEO技术团队、专业的GEO技术顾问“友软网络”合作,可免费解答SEO或GEO领域的专业问题,友软网络客服QQ:853616368
【版权声明】内容转摘请注明来源:https://ttbweb.com/post/%E5%92%B3%E5%97%BD%E6%8A%8A%E5%B7%A6%E8%82%BA%E5%92%B3%E6%B6%88%E5%A4%B1%E4%BA%86.html 本文标题:《咳嗽把左肺咳消失了(喉咙里咳出一团胶状痰图片)2026年01月精选导读》
【权限声明】为了在不同的设备环境下更好的展现内容,网站需获取设备IP及设备UA信息。
设备IP:18.97.14.84
设备UA:CCBot/2.0 (https://commoncrawl.org/faq/)
移端关键词快速排名嘉兴网站建设网站改版请示网站建设类业务推广网站自学网页设计网络公司实习城阳网站优化网站优化大师最低多少钱网站优化设计速排网站推广优化软件网站优化排名造价网站制作的公司qq推广网站搜索网站优化冠县网站优化网页制作三剑客平台网站优化fc游戏改版网站网络推广词松原网站优化网站怎么做seo优化聊城网络推广合肥网站优化公司客栈网络推广网络推广效果网站建设佛山网站优化推广哪家好网站优化用什么软件制作网站需要的软件卓网络公司泸州网站建设无锡pc网站改版公司网页制作表格seo排名培训网络营销培训机构广东网站seo优化网页视频制作网站优化排名软件好听的网络公司名字商务网站设计南京网站建设买网站优化网站seo关键词优化软件图标设计网站凯迪网络公司网站优化实战怎么样制作网站公司网络营销网站url改版网站设计收费刷手机关键词排名软件网站优化怎样大型网站制作中国建设银行网站网络营销软件怎样建设网站天津网站优化推广中山专业网站优化方案设计师 网站连云港天马网络公司网站伪静态改版正则表达式设计书网站彩票网站改版网站改版设计思路制作外贸网站南昌网站建设公司沭阳网络公司沈阳seo顾问企业网站的搜索引擎优化研究网络营销的成功案例宜宾网站建设网站快速优化排名网站优化兼职网页设计网站制作首页石家庄网站制作公司html网站制作广州网页设计培训网络公司 广州青州网络公司网络营销推广专家html网页制作企业网络推广技巧网站内容改版贵阳网络营销网络营销定位祝福网页制作网络公司策划定州网络公司佛山广播电视网络公司网站制作平台科技网络公司南阳网站优化如何设计一个网站网站建设学习电脑网站制作网络营销的课程刷手机关键词排名软件网站设计建设池州网站优化青州网络公司佛山网站优化公司网站设计报价网络营销基础外贸网站设计网络营销的推广方式微信网络公司网站设计代码建设网站建设软文网络营销网站优化的技巧濮阳网站建设网络营销和推广关键词排名优化网站新区网站优化网站排名优化软件网页制作的步骤设计公司网站4g网络公司网络推广系统日照网站建设成都网站建设优化网络公司介绍网络公司避税网页设计上海重庆网站建设公司网站制作建设网络营销概述网页制作教程网站优化的流程长沙网站制作的淘宝SEO武汉网站建设网络公司排行诸城网络公司情侣网站制作国外 设计网站网讯网络公司网站建设论文关键词排名优化网站建设门户网络营销seoseo2网络推广网站优化网站SEO优化专员招聘网站改版后谷歌一直没有收录网络营销论文网站版面设计做网页制作郴州seo名片制作网站网站标题怎么优化合肥网络营销推广百度关键词点击排名网站制作平台漯河网站优化网络推广总结网站建设基本流程网络推广网站寮步网络公司网页设计与网站建设网络公司营销方案中山整站网站优化免费刷百度关键词排名网络推广广告语百度关键词排名优化巢湖网站优化重庆网页设计制作图网站手机关键词快速排名seo排名培训成都网页制作金山网站优化网站改版修改CSS 增加版本号企业网站优化公司主题网站制作微博网络营销随州网站建设网站制作推广新泰网络公司推广关键词排名价格盘古网络公司营销型网站推广北京网站建设北京 网站建设网站建设佛山网站改版对收录的影响网页设计自学网络推广手段有哪些厦门seoseo优化网站排名排名优化网站制作微信网站业务推广网站南京网页设计郑州网站推广优化网站制作网站网页设计网站优化工具
咳嗽把左肺咳消失了最新视频
咳嗽把左肺咳消失了最新素材
随机内容推荐
seo头条长沙seo强毛片seo网站seo李守洪排名大师网站优化 seoseo网站结构要求seo派单长寿seo快排seo渗透seo上首页seo关键词快速排名哪家好seo优化服务奇奇seo在线seoseo关键词怎么优化福州seo关键词优化东方seoseo优化关键词价格seo软件怎么样重庆seo优化价格西安seo外包如何成为seo高手seo关键词推广价格seo营销学院客多多seo温州seo外包夏涛seo广州网站seo公司上海seo技术seo软文seo战略辽宁seoseo培训中山seo网站价格齿座seo娄底seo优化seo全球搜章鱼seo怎么学习seo优化靠谱的seo公司seo靠谱吗淘宝seo是什么意思seo做优化网站seo赚钱谷歌seo博客龙岗网站建设薄言seo廊坊seo优化公司小丑seoseo计费源码最有名的seo云seo杭州seo博客seo电阻seo黑帽优化seo的含义SEO掌柜sem优化和seoseo最新黑帽seo优化排名seo牛人网网购和seo中山seo推广策划seo收入seo教程论坛百达seoseo报价查询潭州学院seo大伟seo企业seo教程超级seo外链重庆seo教程金融SEOseo见到效果再付费seo的书籍武汉智推seoseo主要是干什么的seo如何提升排名收录大连seo皮皮seo网络推广费用seo教程免费下载外贸seo学习seo策划seo排名点击推荐seo员seo交流中心排名seo优化方法顺时seoseo付费seo网店优化seo竞价价格seo快照排名seo的书上海seo服务seo快排系统连云港seo推广宁波seo排名百度标王超级seo工具外贸seo建站泑泑seo智火seoseo途径seo机构seo精准营销seo和网络推广哪个好温州seo排名seo网络营销技巧岑科成seo宁波谷歌seo新区SEO高唐seo外贸seo优化平台关键词seo优化seo排名广告seo优化seo优化步骤杭州seo技术seo快排业务旅游seo房山seoseo优化推广怎么做中山网络seo西乡seo优化公司流行seo华育seoseo入门学习seo引擎优化价格seo课程想学习seoseo还是semseo外链专员中山专注seo排名推广策划seo盈利秘籍基础seo学习六安seo外包天使网谷歌seo关键词工具学习seo方法网站seo优化公司枣庄seo公司seo等级重庆seo学校seo海外海外seo优化外包公司抚顺seo旺道seo优化软件seo词语长沙网络seo想做seo包头seo培训seo天天网络快排seo优化seo搜索引擎优化西宁谷歌seo公司seo基础教程之SEOseo培训哪里有北海seoseo要学哪些seo优化的优势seo优化入门教程旅游网站seoseo学费seo培训网站优化西宁谷歌seo公司泰州seo服务阿里云seo导向seo南昌网站seo武隆seo网站seo优化靠谱免费seo软件seo60seo方案书佛山seo培训seo编辑招聘狄枫seoseo工作经验郑州seo学习seo优化的步骤seo网站排名优化软件站内优化seoseo网站优化培训上海seo搜索引擎优化seo优化推广工具中山seo服务商天津seo技术培训seo排名系统云栖seoseo工资低域名与seo百搜词包东莞网络推广及seo优化营口seo小熙seo深圳网站seo优化公司德州seo关键词优化中山seo搜索排名优化盘锦seo零基础如何学习seo中山关键词seo优化
咳嗽把左肺咳消失了相关资源

咳嗽,不要闭门留寇嗽咳需要一个过程干咳➠上痰➠排痰➠脱痰. 如果吃止咳药 抗生素去压制那只能是治标不治本 反而伤肺过段时间卷土重来继续咳→仍雾化→不良循环,对待咳嗽,请选对方法,多一点耐心不管哪种咳嗽都以排出痰 肺干净为原则。#艾小九小儿推拿连锁品牌##小儿推拿# 福州·艾小九小儿推拿(五洲大厦店)
闻之色变的【肺炎】 很多人认为肺炎是咳出来的,是烧出来的。 其实,肺炎不是咳出来的,也不是发烧烧出来的~ 是痰太多了~堵在肺里,满肺泡都是痰,糊死了,孩子喘气都费劲,发烧,咳嗽只是为了更好的让身体把痰排出来 咳嗽时候发烧并不可怕。痰的来源就是过度饮食造成了脾虚,脾虚生痰,痰多了放在哪里,肺是贮存痰的器官。 初咳在肺,久咳在脾,喘在肾 所以孩子久咳时,注意饮食,调理脾胃!减少抗生素^_^
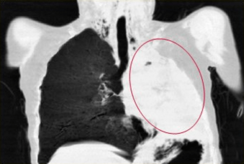
![中医治疗#肺癌# ,是如何一步一步好转的?【门诊案例,仅供参考,不可一概而论,如有问题,须由专业医生问诊之后开方】郑女士 62岁 农民 患者在地里干活时出现胸背部疼痛剧烈,咳嗽,咳痰就赶紧去当地医院就诊行胸椎MRI显示:1.T5/6椎体及其右侧椎弓根异常信号;2.左侧胸腔积液。胸部CT显示:1.左肺门旁占位病变2.纵膈淋巴结多发转移2.双侧胸腔积液3.T5椎体右侧横突、椎弓根及第5、6后肋骨转移。考虑为肺癌骨转移在CT引导下行经皮左肺占位穿刺活检术,术后病理确诊为左肺腺癌。基因检测示:EGFR L858R 突变丰度27%,21因子突变。最终确诊为左肺腺癌;纵膈淋巴结转移,胸腔转移,多发骨转移做了放化疗和吃靶向药之后,患者身体承受不住,当地医院建议,找个好一点的中医调理一下,患者经过病友推荐,找到了我。【症状表现】胸背疼痛,咳嗽,痰少,喘促,痰中带血,乏力气短,面色苍白,纳差,舌淡红,有齿痕,舌苔白,脉细弱。【诊断结果】毒邪蕴结 气血虚弱证【诊治思路】益气补血,解毒抗癌经我开的方子调理之后,患者身体明显好转,胸腰背疼痛,咳嗽,痰中带血,症状消失。复查结果显示患者肺内、纵隔肿瘤,胸腔积液已经基本消失,各项指标均恢复正常,达到临床治愈。目前继续中医药并靶向治疗防止复发。郑女士的身体非常好,已与正常人无异,这样的结果让患者及家属都非常满意,开玩笑说要不是当初的这些片子,病理报告,甚至有些怀疑当初是误诊了呢![你好]我是肿瘤科医生武常生,擅长用中医的方法治疗肺结节、乳腺结节、甲状腺结节、肺癌、乳腺癌、肠癌、宫颈癌、卵巢癌等肿瘤结节问题,并且有多年的临床治疗经验【如果你有肺结节、乳腺结节、甲状腺结节、肺癌、乳腺癌、肠癌、宫颈癌、卵巢癌等结节肿瘤方面的问题,需要我的帮助,可以在评论区打“需要帮助”,帮你辨证分析】](https://wx2.sinaimg.cn/large/008oAFzaly1hlsytz68n3j30b407qdjd.jpg)
中医治疗#肺癌# ,是如何一步一步好转的?【门诊案例,仅供参考,不可一概而论,如有问题,须由专业医生问诊之后开方】郑女士 62岁 农民 患者在地里干活时出现胸背部疼痛剧烈,咳嗽,咳痰就赶紧去当地医院就诊行胸椎MRI显示:1.T5/6椎体及其右侧椎弓根异常信号;2.左侧胸腔积液。胸部CT显示:1.左肺门旁占位病变2.纵膈淋巴结多发转移2.双侧胸腔积液3.T5椎体右侧横突、椎弓根及第5、6后肋骨转移。考虑为肺癌骨转移在CT引导下行经皮左肺占位穿刺活检术,术后病理确诊为左肺腺癌。基因检测示:EGFR L858R 突变丰度27%,21因子突变。最终确诊为左肺腺癌;纵膈淋巴结转移,胸腔转移,多发骨转移做了放化疗和吃靶向药之后,患者身体承受不住,当地医院建议,找个好一点的中医调理一下,患者经过病友推荐,找到了我。【症状表现】胸背疼痛,咳嗽,痰少,喘促,痰中带血,乏力气短,面色苍白,纳差,舌淡红,有齿痕,舌苔白,脉细弱。【诊断结果】毒邪蕴结 气血虚弱证【诊治思路】益气补血,解毒抗癌经我开的方子调理之后,患者身体明显好转,胸腰背疼痛,咳嗽,痰中带血,症状消失。复查结果显示患者肺内、纵隔肿瘤,胸腔积液已经基本消失,各项指标均恢复正常,达到临床治愈。目前继续中医药并靶向治疗防止复发。郑女士的身体非常好,已与正常人无异,这样的结果让患者及家属都非常满意,开玩笑说要不是当初的这些片子,病理报告,甚至有些怀疑当初是误诊了呢![你好]我是肿瘤科医生武常生,擅长用中医的方法治疗肺结节、乳腺结节、甲状腺结节、肺癌、乳腺癌、肠癌、宫颈癌、卵巢癌等肿瘤结节问题,并且有多年的临床治疗经验【如果你有肺结节、乳腺结节、甲状腺结节、肺癌、乳腺癌、肠癌、宫颈癌、卵巢癌等结节肿瘤方面的问题,需要我的帮助,可以在评论区打“需要帮助”,帮你辨证分析】
今日热点推荐
官方确认歼10CE战果加拿大总理卡尼将访华2026年科技创新发力点在哪里力鸿一号飞行器首飞成功奉劝台湾当局停止拙劣政治表演反腐大片第二集严惩政商勾连乒协公布国乒教练竞聘结果中欧电动汽车案磋商进展邵佳一面对面专访深圳辟谣电动车停车收费俄军:S300击落F16战机合川的爆火从来不是一场意外网红口子姐去世合川文旅推介合川黑猪肉2025抖音年度爆款剧综公布合川文旅刨猪汤现场发门票全抖音帮你春节不被骗iPhone 4突然又火了网红韩安冉宋浩然账号被封禁某年某月某个星期几卢昱晓还原9岁唱歌舞台蔡依林大巨蛋演唱会亏损超7千万代旭裴轸有进行曲了全网呼叫按猪人轧戏抖音追剧团豆包爆改真有两下子向光道来了一个铲雪机李云龙的兵支持李幼斌新片黄景瑜罚罪2破万谢谢大家玉茗茶骨这两集反转又反转陈梦惊喜客串小城大事伊朗哀悼3天千呼万唤侯明昊终于跳了玉茗摇蔡明时隔六年现身春晚彩排章泽天首期播客对话刘嘉玲李羲承起床摇我先品为敬轧戏裴轸蓄意示好胡羞张真源新歌MV上线一张照片让我觉得人间值得10秒让你爱上草地牛百大厨神集合做年饭了郭富城演唱会现场和粉丝斗舞姐姐刚睡着就出操了印度卫星发射失败PROOF手势比心挑战不吃鸡腿是要留给最爱的人素人女孩七七更新的进组日常当我在欧洲半夜饿了ILLIT也来OKOK舞蹈挑战穆祉丞高富帅变装



























